많은 분들이 “깊은 충치 = 무조건 신경치료”라고 생각하지만, 치아 속 치수(신경·혈관) 는
단순한 ‘통증의 원인’이 아니라 치아에 영양을 공급하고 방어·회복을 돕는 살아있는 조직입니다.
기분좋은치과는 가능하다면 이 조직을 끝까지 살려서 치아를 더 오래 쓰는 방향을 우선합니다.
그 핵심이 MTA를 이용한 생활치수치료(치수보존치료) 입니다.
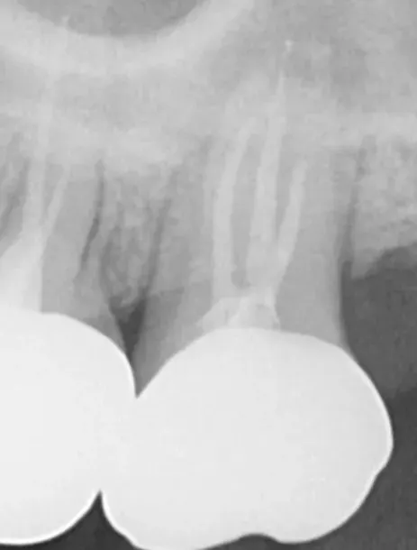
MTA(Mineral Trioxide Aggregate)
생활치수치료는 MTA를 기반으로 진행합니다.
MTA는 치수에 가까운 부위를 안정적으로 밀봉하고, 치수가 스스로 회복할 수 있는 환경을 만드는 데 도움을 주는 재료로 널리 사용됩니다.
※ 어떤 재료를 쓰더라도, 정확한 진단과 술식(시술 과정) 이 예후를 좌우합니다.
우수한 밀폐력 | 세균이 다시 침투하는 것을 줄이는 방향
생체친화성 | 치수 조직에 자극을 줄이고 회복 환경을 조성
치유 유도 | 치수 보호층 형성에 유리한 방향으로 설계
“신경치료를 무조건 피하겠다”가 아니라, 살릴 수 있는 치수는 살리고
살리기 어렵다면 필요한 신경치료를 정확하게 하는 것이 원칙입니다.
결국 목표는 하나, 자연치아를 오래 쓰는 것입니다.
전통적인 신경치료 vs 생활치수치료, 무엇이 다를까요?
전통적인 신경 치료: 근관치료
치수(신경·혈관)를 완전히 제거하고, 뿌리 속 근관을 소독·성형한 뒤 충전하는 치료입니다.
감염이 뿌리까지 진행됐거나 치수가 이미 손상되어 회복이 어려운 경우에는 꼭 필요한 표준 치료입니다.
치아 구조 손실 ↑
치아 내부를 넓게 정리해야 하는 경우가 많아 치아 구조 손실이 커질 수 있음
치아 약화 가능성 ↑
치아가 ‘살아있는 조직’을 잃어 취약해질 가능성 있음
보강 수복 가능성 ↑
이후 보강 수복(크라운 등) 이 필요해지는 경우 多 (케이스별 상이)
생활 치수 치료: 치수보존치료
충치가 깊더라도 치수의 상태가 회복 가능하다고 판단되면, 치수를 전부 제거하지 않고,
염증이 있는 부분만 최소한으로 정리한 뒤 치수를 보호·치유를 유도하는 치료입니다.
자연치아 삭제 최소화
치아 생명력 유지
치아의 혈관/방어능력 유지
치아 유지를 목표
결과적으로 치아를 더 오래, 더 건강하게 쓰는 것이 목표
생활치수치료의 중요성과 ‘더 까다로운’ 이유
생활치수치료는 “신경을 살리는 대신” 그만큼 조건이 엄격합니다.
성공적인 예후를 위해 아래 과정이 특히 중요합니다.
단순히 “신경치료를 피하는 치료”로 접근하지 않고, 치아를 살리기 위한 더 정교한 치료로 접근합니다.
01
정확한 케이스 선택(치수가 회복 가능한 상태인지 판단)
02
치수 상태에 따른 출혈 조절/염증 범위 판단
03
치료 중 철저한 격리(침·혈액 관리) 와 감염 관리
04
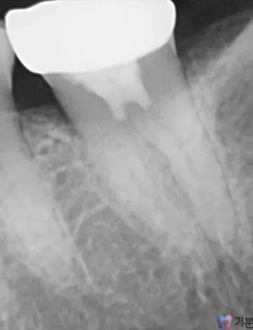
MTA 적용 후 누수 없는 밀봉과 최종 수복의 완성도
생활치수치료를 추천하는 경우
전통적인 신경치료를 추천하는 경우
아래의 경우에는 전통적인 신경치료가 더 안전한 선택일 수 있습니다.
치료 흐름(예시)
정밀 진단(방사선/치수 검사 등)
충치 제거 및 감염 관리
치수 상태 확인 및 생활치수치료 가능 여부 판단
MTA 적용 및 안정적 밀봉
레진 빌드업/인레이/오버레이 등 최종 수복으로 보강
경과 확인(필요 시 추적 관찰)







