์น์๋ ํผ๋ถ๋ ๋ผ์๋ ๋ฌ๋ฆฌ ํ ๋ฒ ์์๋๋ฉด ์๋๋๋ก ์ฌ์๋์ง ์์ต๋๋ค.
๊ทธ๋์ ๊ธฐ๋ถ์ข์์น๊ณผ๋ ์น๋ฃ์ ๋ชฉํ๋ฅผ โํฌ๊ฒ ๊น์ ๋นจ๋ฆฌ ๋๋ด๋ ๊ฒโ์ด ์๋๋ผ, ์์ฐ์น์๋ฅผ ์ต๋ํ ๋ณด์กดํ๋ฉฐ ์ค๋ ์ฐ๋ ๊ฒ์ ๋ก๋๋ค.
์์ ๋ถํธ๊ฐ์๋ ๋ฌด์กฐ๊ฑด ์ ๊ฒฝ์ ์ ๊ฑฐํ๊ฑฐ๋ ์ญ์ ๋์ด ๋ง์ ์น๋ฃ๋ฅผ ์ ํํ๊ธฐ๋ณด๋ค,
๊ฐ๋ฅํ๋ฉด ์ญ์ ๋์ด ์ ์ ์น๋ฃ, ์น์(์ ๊ฒฝยทํ๊ด)๋ฅผ ๋ณด์กดํ๋ ์น๋ฃ๋ฅผ ์ฐ์ ์ ์ผ๋ก ๊ณ ๋ คํฉ๋๋ค.
์ต์์นจ์ต ์น๋ฃ๋ โ๋ชจ๋ ๊ฒฝ์ฐ์ ๋ฌด์กฐ๊ฑด ์ ์ฉโํ๋ ์น๋ฃ๋ ์๋๋๋ค.
์ถฉ์น ๊น์ด,๊ท ์ด ๋ฒ์, ๊ตํฉ, ์น์ ์ํ ๋ฑ์ ์ข
ํฉํด ๊ฐ์ฅ ๋ณด์กด์ ์ด๋ฉด์๋ ์ค๋๊ฐ๋ ๋ฐฉ๋ฒ์ ์ ํํฉ๋๋ค.
๊ธฐ๋ถ์ข์์น๊ณผ๊ฐ ์ค์ํ๊ฒ ์๊ฐํ๋ ์์น
์ต์์นจ์ต ์น๋ฃ์ ์ ๊ทน ๋์ ํ๋ ๋ฐฉ๋ฒ
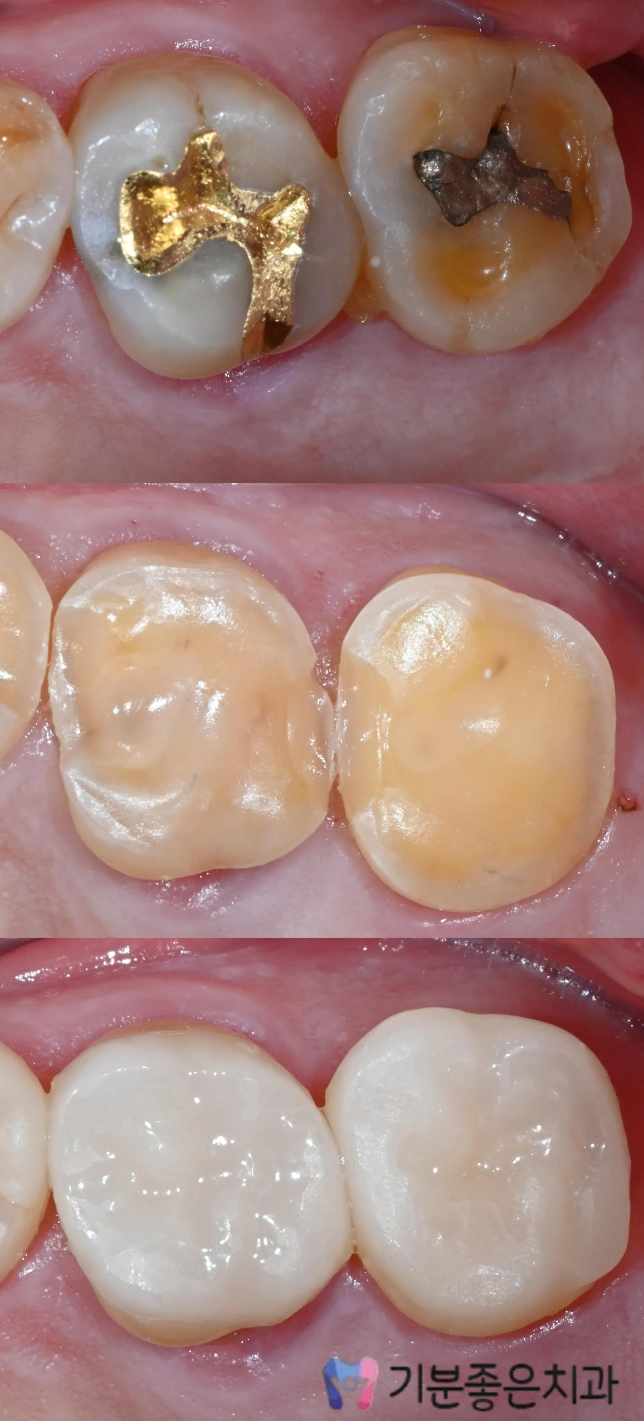
01 ใ ก ๋ ์ง ๋น๋์ (Resin Build-up)
์ถฉ์น๋ ํ์ ๋ก ์์๋ ๋ถ์๋ฅผ ํ์ํ ๋งํผ ์ ๊ฑฐํ ๋ค, ๋ ์ง์ผ๋ก ์น์ ํํ๋ฅผ ์ ๊ตํ๊ฒ ๋ณต์ํฉ๋๋ค.
โข
๋ถํ์ํ ์ญ์ ๋ฅผ ์ค์ฌ ์์ฐ์น์ ๋ณด์กด์ ์ ๋ฆฌ
โข
์น์์ ํํยท๊ตํฉ์ ๋ง์ถฐ ๊ธฐ๋ฅ ํ๋ณต์ ๋์
โข
์ํฉ์ ๋ฐ๋ผ ์ธ๋ ์ด/ํฌ๋ผ์ด์ผ๋ก ๊ฐ๊ธฐ ์ ๋จ๊ณ์์ ๋ณด์กด์ ๋์์ด ๋ ์ ์์
*์ถฉ์น ๋ฒ์ยทํ์ด ๋ง์ด ๊ฑธ๋ฆฌ๋ ๋ถ์ยท๊ตํฉ ์ํ์ ๋ฐ๋ผ ์ ์์ฆ ์ฌ๋ถ๋ ๋ฌ๋ผ์ง๋๋ค.
02 ใ ก ์ค๋ฒ๋ ์ด(Overlay)
ํฌ๋ผ์ด์ฒ๋ผ ์น์ ์ ์ฒด๋ฅผ ํฌ๊ฒ ์ญ์ ํ์ง ์๊ณ , ์์๋ ๋ถ์๋ฅผ ์ค์ฌ์ผ๋ก ํ์ํ ๋ฒ์๋ง ๋ฎ์ด ๋ณดํธํ๋ ์ต์ ๊ฒฝํฅ์ ๋ณด์ฒ ์น๋ฃ์
๋๋ค.
๋ค๋ง ์ค๋ฒ๋ ์ด๋ ์ ์งํํ(๊ฑธ์ด ์ ๊ทธ๋ ํํ)๋ฅผ ํฌ๊ฒ ๋ง๋ค์ง ์๊ณ , ๋๋ถ๋ถ์ ์ ์ฐฉ๋ ฅ์ ์์กดํด ์๋ณตํ๊ธฐ ๋๋ฌธ์ ์ ์ฐฉ ๊ณผ์ ์ด ๋งค์ฐ ์ค์ํฉ๋๋ค.
โข
ํฌ๋ผ์ด ๋๋น ์ญ์ ๋์ ์ค์ผ ์ ์๋ ๊ฒฝ์ฐ๊ฐ ๋ง๊ณ ,
์น์๋ฅผ ๋ถ๋ถ ๋ณด๊ฐํ๋ ์ต์ ๊ฒฝํฅ์ ๋ณด์ฒ ์น๋ฃ์
๋๋ค.
โข
๋์ ์ ํํ ๊ฒฉ๋ฆฌ(์นจ,ํ์ก,๊ตฌ๊ฐ๋ด ์ต๋ ๊ด๋ฆฌ), ํ๋ฉด ์ฒ๋ฆฌ, ์ ์ฐฉ ํ๋กํ ์ฝ์ด ์ ๋๋ก ์ง์ผ์ ธ์ผ ์ฅ๊ธฐ๊ฐ์ ์ ์ง๋ ฅยท๋ด๊ตฌ์ฑยท์ํ๊ฐ ์์ ์ ์ผ๋ก ํ๋ณด๋ฉ๋๋ค.
โข
๊ทธ๋์ ๊ธฐ๋ถ์ข์์น๊ณผ๋ ์ค๋ฒ๋ ์ด๋ฅผ ๋จ์ํ โ๋ ๊น๋ ์น๋ฃโ๋ก ์ ๊ทผํ์ง ์๊ณ , ์๊ฒฉํ ์์ ๊ณผ์ ๊ณผ ์ ๋ฐํ ์ ์ฐฉ ๋จ๊ณ๋ฅผ ๋ฐํ์ผ๋ก ์ํ๊น์ง ๊ณ ๋ คํด ์งํํฉ๋๋ค.
* ์น์์ ๊ท ์ด ๋ฒ์, ๋จ์์๋ ์น์๋, ๊ตํฉ(์น๋ ํ) ๋ฑ์ ๋ฐ๋ผ ์ค๋ฒ๋ ์ด๊ฐ ์ ํฉํ์ง ์์ ๊ฒฝ์ฐ๋ ์์ด, ์ง๋จ ํ ๊ฐ์ฅ ์์ ํ ๋ฐฉ๋ฒ์ ์๋ด๋๋ฆฝ๋๋ค.



